この症例は、虫歯や歯ぐきの治療をきっかけに、歯並びの改善も希望されて来院された30代女性の成人矯正の治療例です。口の中全体の状態を確認したうえで、2010年から虫歯・歯ぐきの治療とあわせて歯並びを整える治療を進めました。治療後も定期的な通院による確認とケアを継続しています。長期にわたる経過観察を通じて、口の中の状態が安定して保たれていることを確認している症例です。
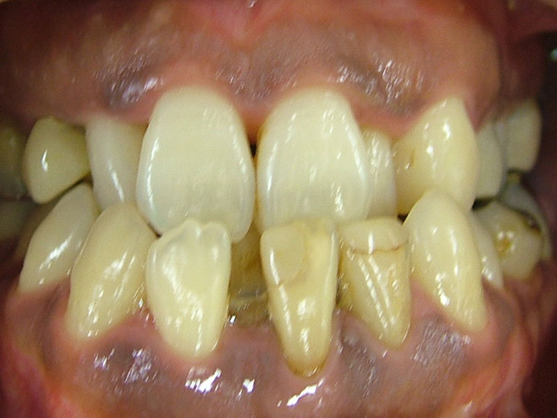
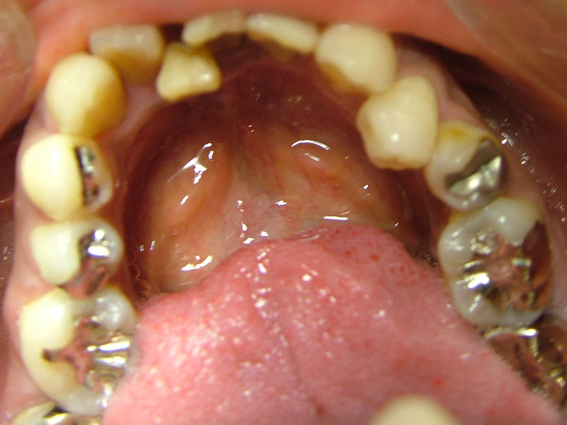
術前




概要
- 初診:2006年。2010年―矯正治療を含めた一口腔単位の治療開始、治療当時、30代女性、喫煙者
- 主訴:虫歯治療、歯周病治療、できれば歯並びも治したい。
- 矯正診断:3級骨格性の反対咬合
- 治療方針:以前に治療した歯の再治療(虫歯治療、歯内療法、歯周処置)、右下前歯1本抜歯、矯正用インプラントを用いたワイヤー矯正、修復処置(被せ物)、保定(上ワイヤー、下マウスピース)、歯茎のピーリング(漂白)、4か月メンテナンス
- 費用:1,415,000円+税
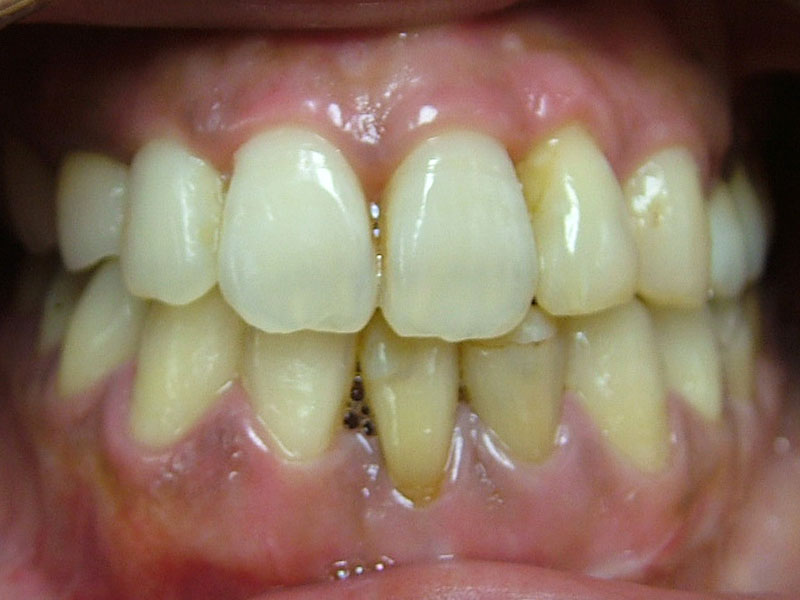
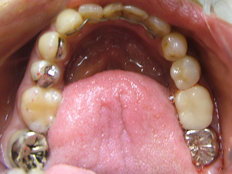
術後




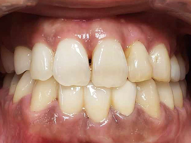
トータルの治療期間は3年くらいでしたが、包括歯科治療(虫歯治療、歯周病治療、抜歯、矯正治療、歯内治療、修復治療、メンテナンス)を1人の歯科医が行い、まずまずの治療を行うことができたのではないかと思います。患者さんも十分に満足されました。
ただ、後年(2年後)、下前歯はブラックトライアングルの改善ならびに保定も兼ねて、3本前歯は連結修復を行いました。4か月メンテナンスに移行です。
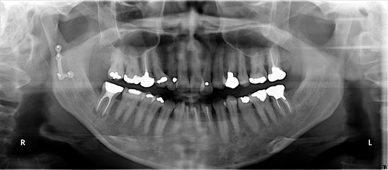
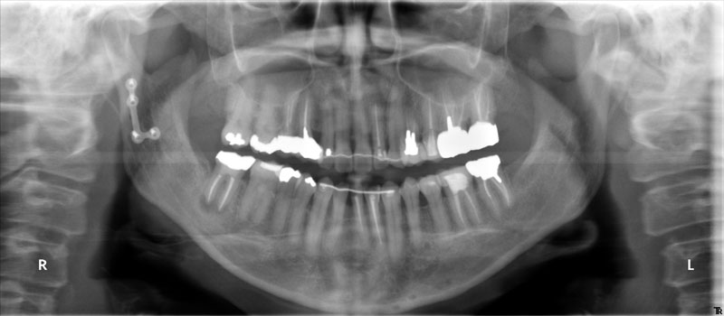
術後10年後




メンテナンスのみで、今のところ再治療を行った歯はありません。うまくコントロールされていると思います。ただ、鼻性由来の両側副鼻腔炎を患ってたので、耳鼻科への来院を促しました。


この記事へのコメントはありません。