【成人矯正症例】歯並びと歯の色を整えたい / 30代女性 / #58

この症例は、歯並びと歯の色を整えたいという希望で来院された、30代女性の成人矯正の治療例です。初診後の検査を踏まえ、2014年から歯並びの改善を中心に、口の中全体の状態を考慮した治療を行いました。治療後も定期的な通院による確認とケアを継続しています。長期間にわたる経過観察を通じて、歯並びや口腔内の状態が安定して保たれていることが確認できる症例です。

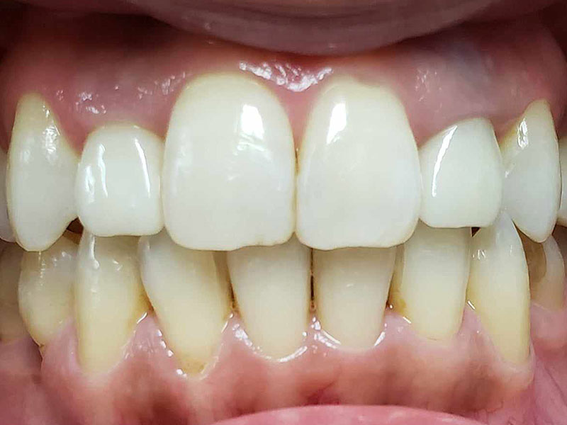
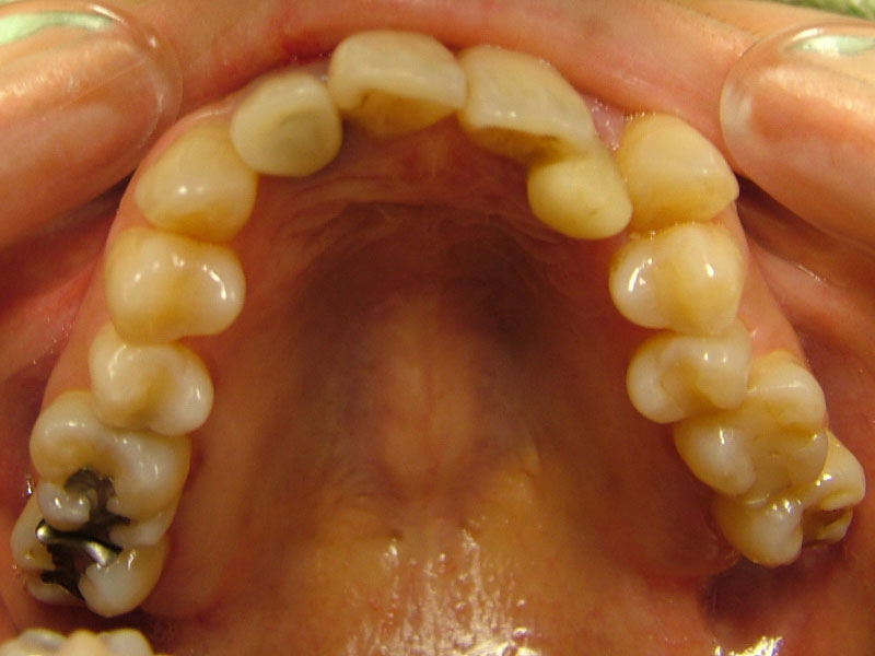
術前

概要

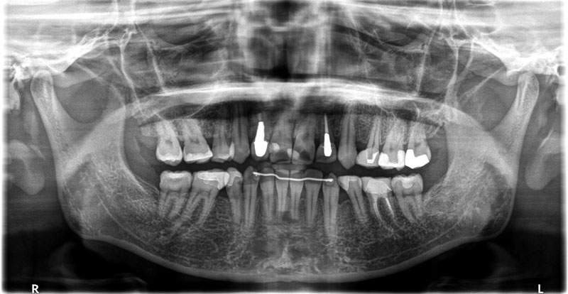
  • 初診:2006年、2014年―矯正治療を含めた一口腔単位の治療開始、治療当時、30代女性、非喫煙者
  • 主訴:できれば歯並びを良くし歯を白くしたい。
  • 治療方針:親知らず3本抜歯、上下小臼歯4本抜歯、矯正用インプラント使用のワイヤー矯正、修復処置、保定(上マウスピース、下ワイヤー)、メンテナンス
  • 費用:矯正810,000円+税、修復480,000円+税(当時)

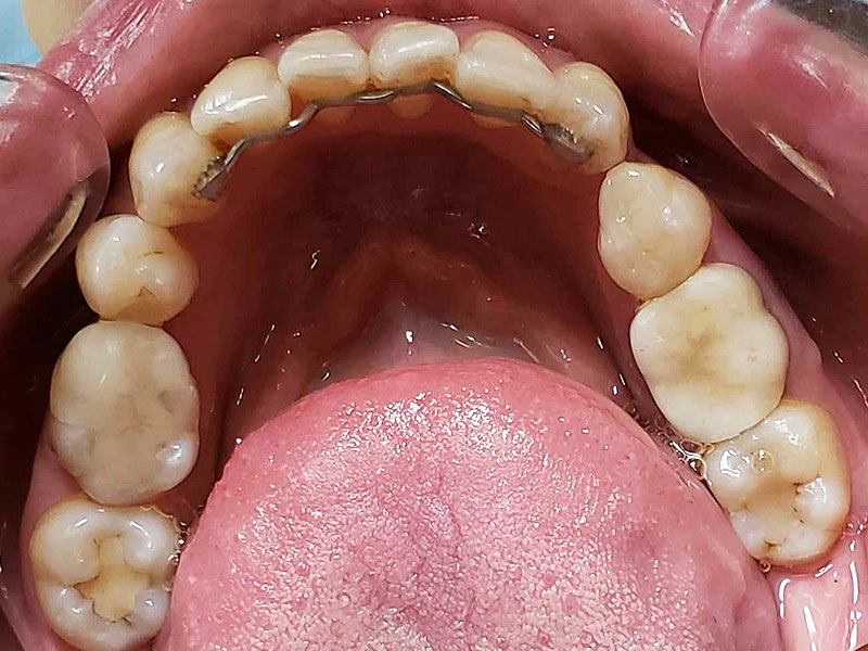
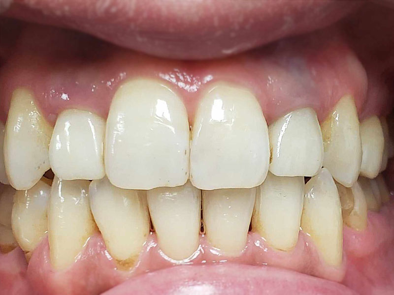
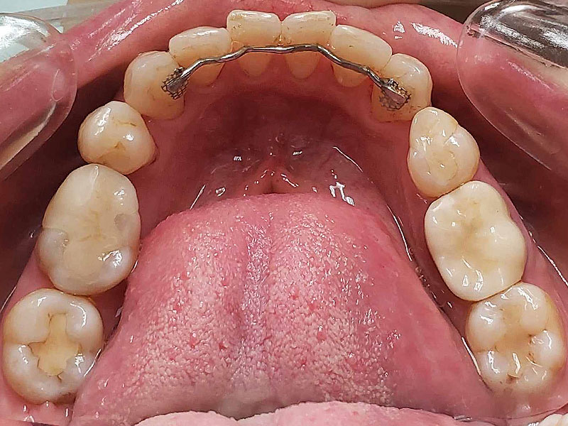
術後

約2年治療期間で包括矯正治療は完結となり、患者さんは大変満足してくれました。更にかみしめ癖も軽減し、肩こりも無くなったとのことです。口腔内写真からも舌房が確保され、舌圧痕がなくなり、かみしめ癖が軽減したことも十分にわかります。

(注、矯正治療して歯並びを治したら、肩こり、不定愁訴がなくなるわけではないことは断言しておきます。かみしめ癖が無くなっただけです。)

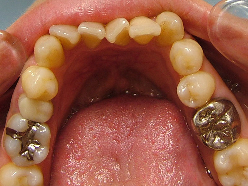
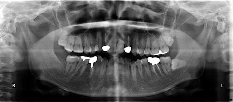
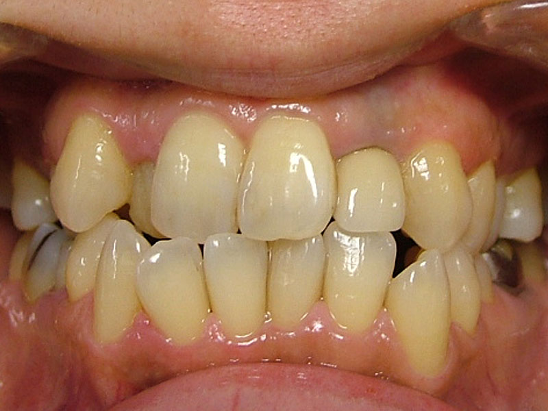
術後10年後

着色は認められますが、ほぼ10年前の状態を維持しているように思えます。着色したCRをセラミックにという考え方もありますが、神経除去のリスクもあるため、患者さんが見た目でどおしてもと希望されないかぎり、個人的にはお勧めしません。この方も希望されませんでしたが、症状を訴えたり、確実に中が虫歯と判断しない限り、このまま経過観察していこうと考えています。

関連記事

  1. 【成人矯正症例】他の歯医者から治せないと言われた / 40代…

  2. 【成人矯正】虫歯治療、歯周病治療、できれば歯並びも治したい …

コメント

  1. この記事へのコメントはありません。

  1. この記事へのトラックバックはありません。

CAPTCHA


PAGE TOP