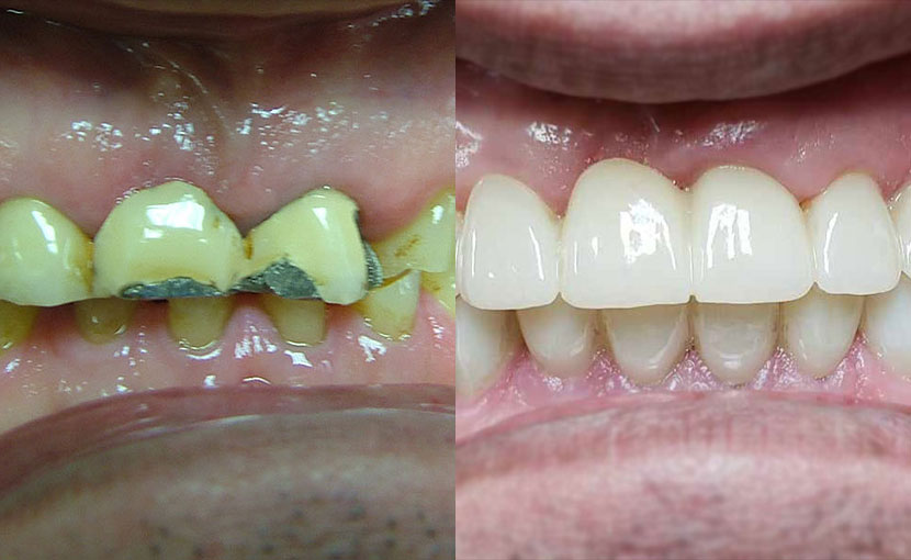
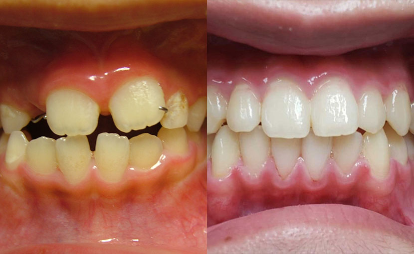
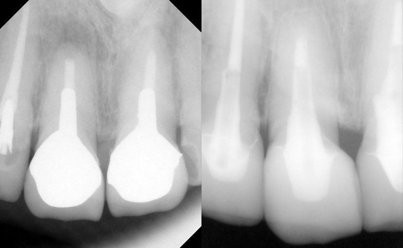
歯の保存とインプラントに強い歯科医院です
他院で抜歯が必要と診断された場合でも、当院では可能な限り歯を残せる方法を模索します。歯が抜けてしまった際のインプラント治療もご提案しています。
INFORMATION
お知らせ
診療科目
ACCESS
アクセス
〒929-0341 石川県河北郡津幡町字横浜い43-1
診療時間 / 午前 9:30 - 12:30 午後 2:00~6:00 ※土曜日は午後 2:00~5:30
※最終受付時間 / 午前 12:00 午後 5:30
休診日 / 水曜日・日曜日・祝日
| 月 | 火 | 水 | 木 | 金 | 土 | 日 | |
|---|---|---|---|---|---|---|---|
| 午前 | ◯ | ◯ | ✕ | ◯ | ◯ | ◯ | ✕ |
| 午後 | ◯ | ◯ | ✕ | 自費診療 | ◯ | 自費診療 | ✕ |




