この症例は、左下の銀歯まわりの歯ぐきの腫れをきっかけに、口の中全体の確認を希望して来院された40代男性の成人矯正の治療例です。初診時の検査をもとに、歯ぐきの状態を整えながら、歯並びの改善と見た目の明るさを考慮した総合的な治療を行いました。治療後も定期的なチェックとケアを続け、噛み合わせや歯ぐきの状態は安定しています。長期的に経過を見守ることで、治療結果を維持しやすくなることを示す症例です。
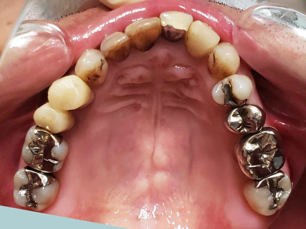
術前




概要
- 初診:2019年、40代男性、非喫煙者、アレルギー体質(花粉症)
- 主訴:左下の銀歯の歯茎が腫れた。他の歯医者から治せないと言われたので、口の中全体を診てほしい。できれば歯並びも治して、歯を白くしたい。
- 矯正診断:3級骨格性の反対咬合
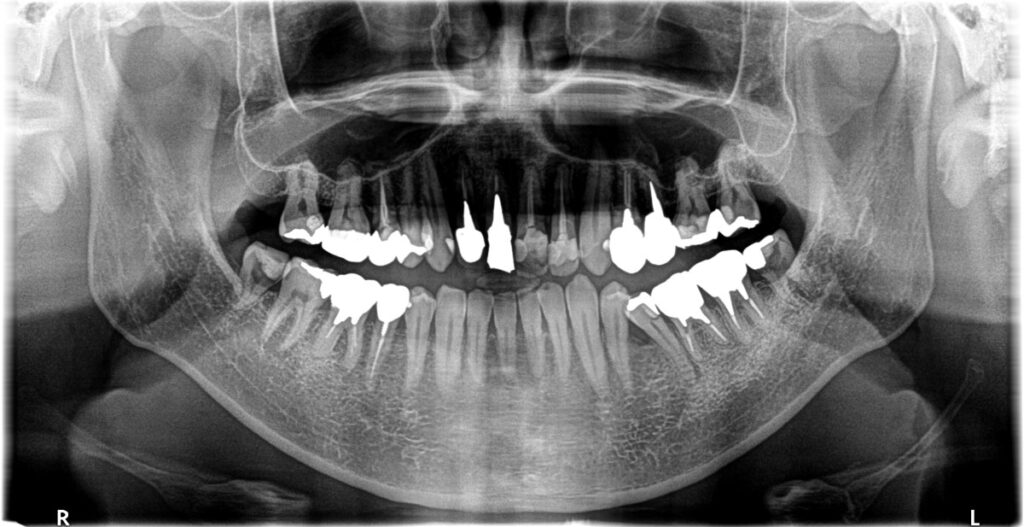
- 治療方針:以前に治療したほぼ全ての歯の再治療(虫歯治療、歯内療法、歯周処置)、矯正用インプラントを用いたワイヤー矯正、修復処置(被せ物)、保定(上マウスピース、下ワイヤー)、メンテナンス
- 費用:1,990,000円+税(当時)
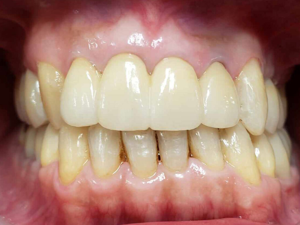
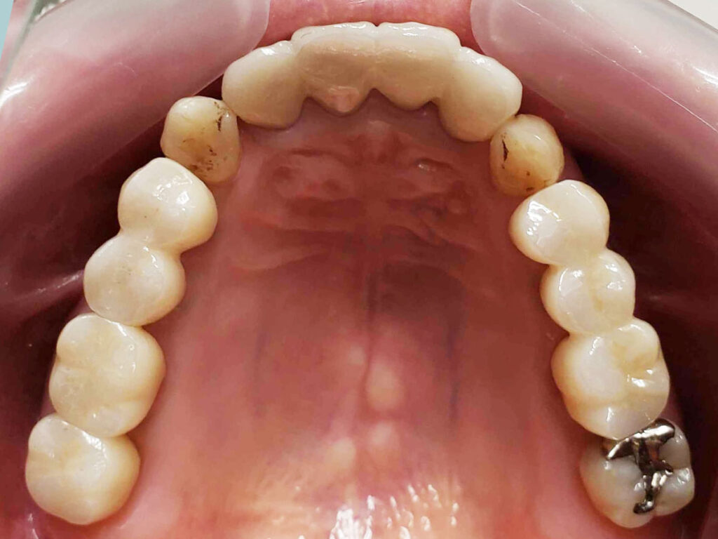
術後




治療期間は約3年でした。本来、外科矯正も視野にいれた方が良いかもしれない、ウルトラE難度のケースだったと思います。しかし年齢的な問題、歯の問題も解決しないといけないため、歯並びは治っても骨格的な問題は解決できないと患者さんに最初に説明してから治療に入りました。しかし、本人最終的な仕上がりには大変満足しているようです。
更に化膿していた歯根も全て当医院の再治療で完治したことがCT画像でもわかるため、大変感謝されました。ただ、本来アレルギー体質も考慮して、全てメタルフリーという考えもありましたが、問題ない銀歯を触り神経の処置が必要になるリスクも考慮して、そのまま経過観察とさせて頂きました。また、咬合負担のかかり側方圧のかかりやすい親知らずの修復にはゴールド修復を行いました。いずれ皮膚科に金属アレルギーの検査に行ってもらい、陽性反応がでればやり直す予定ですが、再修復に関しましては自費料金を割り引こうと考えています。
今後、4か月メンテナンスを行い、良好な口腔内を保ってほしいと思っていますが、口腔内管理がバッチリのため、歯周病に関しては全く心配していません。寧ろ、無理な力がかかったときの歯根の破折や根っこの化膿の再発が心配ですかね。しかし、この歯磨き良好なカリエスパワータイプ(虫歯、力)は、歯並びや噛み合わせが良ければ、次にインプラントに移行したとしても、良い予後は約束されていることも今の段階でもわかります。
術後1年後

歯磨き等の管理は言うことなしですね。夜間のマウスピースも着用されているとの事で、素晴らしいの一言に尽きます。1回も遅刻なし、予約変更なしに遠方から1時間かけて約2年来院された方なので、私的にも感無量、満足といった所ですかね。


この記事へのコメントはありません。