この症例は、前歯の見た目を整えたいことと、奥歯でしっかり噛めるようになりたいという希望で来院された、60代後半の男性の治療例です。糖尿病や高血圧があり、喫煙歴もあったため、全身状態に配慮しながら、前歯の見た目の改善と奥歯の噛み合わせの回復を目的にインプラントを用いた治療を行いました。治療後は定期的な通院とセルフケアを継続し、7年が経過した現在も見た目と噛む機能の両面で安定した状態を保っています。長期的な経過観察と継続的な管理が、治療結果の維持に重要であることが確認できる症例です。
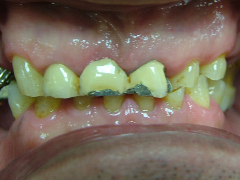
治療前

概要
- 初診:2016年、治療当時60代後半男性、喫煙者(現在禁煙中)、現病歴―糖尿病、高血圧(内科に対診あり)
- 主訴:前歯を綺麗にしてほしい。奥歯で噛めるようにしてほしい。
- 治療方針:以前の不完全な根っこの治療のやり直し+歯周病治療+仮歯による形態、色の選定+連結ジルコニアクラウンの装着
- 治療期間:1年(口の中全体の治療も含めて)
- 費用:254万円+税(当時)
治療後

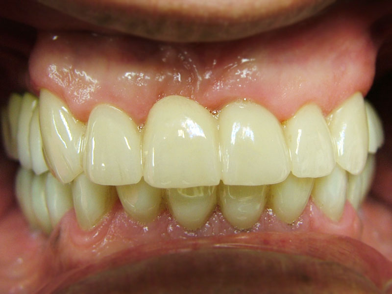
術前と比較し、綺麗な口元に改善されたことがわかります。メンテナンスに移行します。
術後7年

治療後3か月に1度の定期検診に移行し、7年の月日が経過しました。幸いジルコニアのチッピング(破損)、歯茎の退縮等の審美面のトラブルや患者さんの不都合も訴えることなく、経過良好と言えます。口の中を綺麗にしたせいか、A1Cの値も落ち着いているとのことです。



この記事へのコメントはありません。