この症例は、9歳女児が出っ歯と歯の隙間を気にして来院されたケースです。非抜歯を希望されたことから、虫歯予防や歯磨き指導を行いつつ、拡大床やマウスピース矯正など複数段階の治療を経て咬み合わせの改善を図りました。永久歯が揃うまで治療を継続し、虫歯や歯肉炎の発症もなく理想的な仕上がりで1期治療を終えています。患者さんの成長や生活に合わせて、長期的な経過観察と口腔内の健康維持を重視した対応が行われています。
治療費
| 検査費用 | 10,000円 |
| マウスピース矯正 | 150,000円 |
| 床矯正 | 200,000円 |
| 保定 | 30,000円 |
| 合計 | 390,000円 |
※費用は患者の状況により変動します。
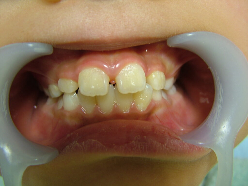
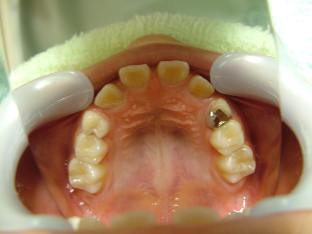
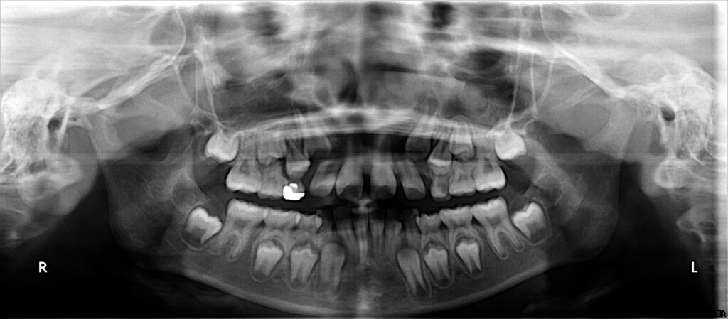
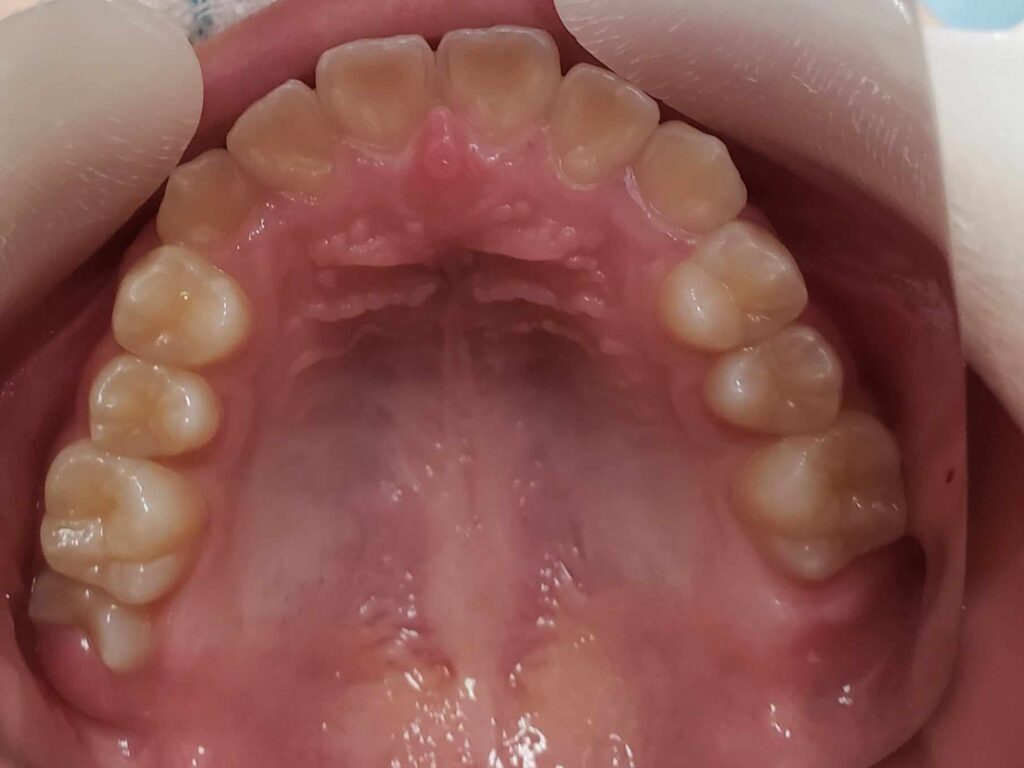
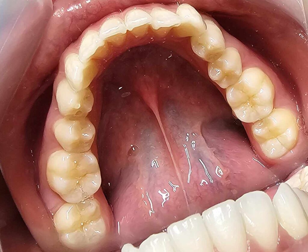
治療前




概要
- 初診:2016年、9歳女児
- 主訴:出っ歯と歯の隙間がきになる。
- 診断:2級過蓋咬合、上下永久歯(犬歯)萌出スペース不足
- 治療方針:非抜歯で行う。虫歯予防(フッ素)、歯磨き指導、上下拡大床→咬合関係改善のツインブロック(2級→1級関係へ)→マウスピース矯正→下親知らずの抜歯、保定→メンテナンス
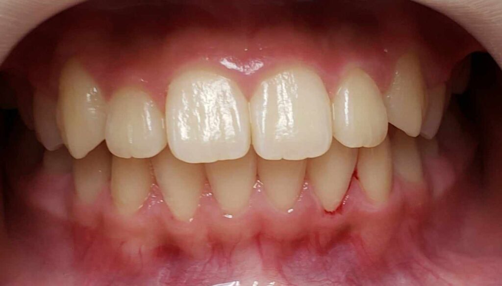
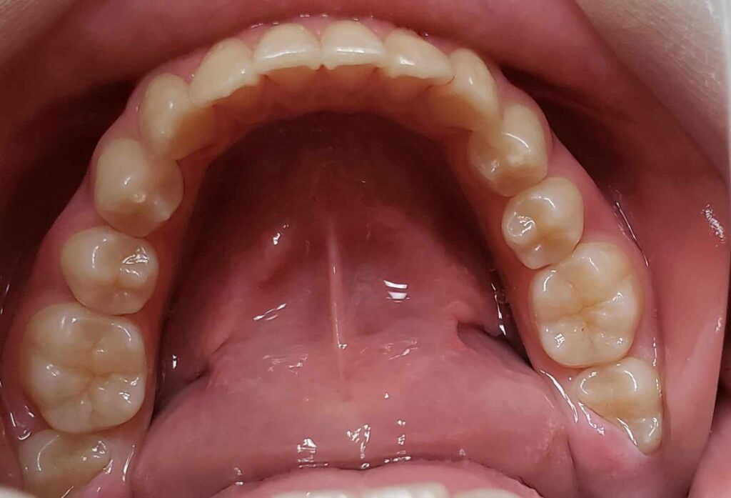
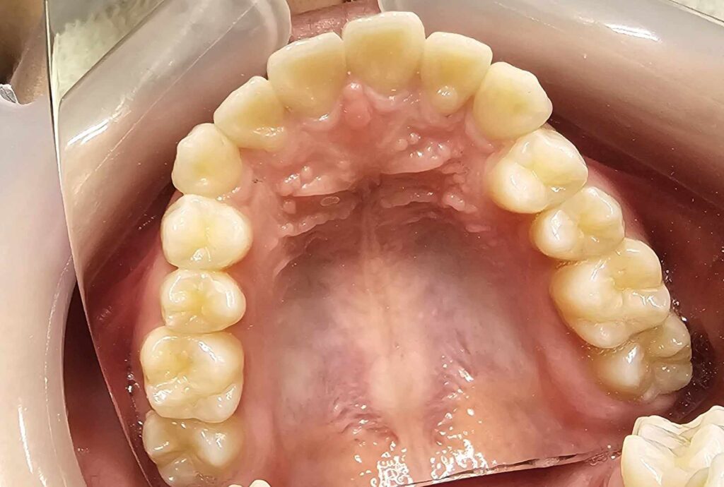
治療後




13歳頃、永久歯列になったところで、1期治療終了。虫歯のコントロール、歯磨き指導も十分に行ったため、虫歯や歯肉炎の発生もなく理想的な状態で完了できたと思います。あとは、高校1~2年生くらいに下顎の埋伏親知らずを抜歯して、通えれば20歳くらいまで半年メンテナンスが良いかもしれません。本当に口腔内の良好維持を考えている歯科医は、矯正で一時的に治った状態に満足しません。後戻りも考慮して、適齢期の親知らずの抜歯を行ったり、習癖の改善に取り組むでしょう。さらに患者さんが通院可能であれば、予後も追い続ける傾向があるでしょう。
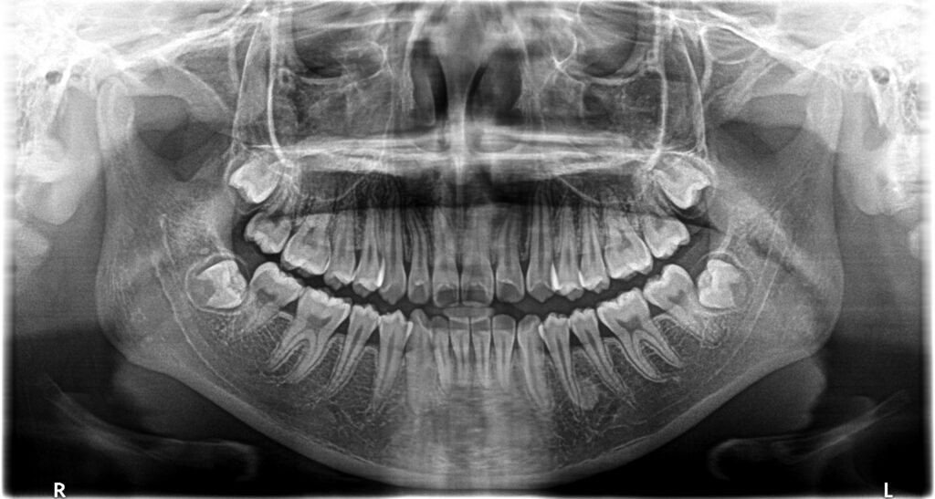
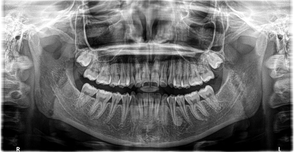
治療3年後




下顎前歯叢生予防のため、高校1年になり、左右下埋伏の親知らずの抜歯を行いました。本人歯並びが良くなって、ホワイトニングも希望されましたので、行うことになりました。かなり白くなりました。個人的にこれが本当の人工物に頼らない理想的な治療方法(矯正+ホワイトニング)だと思ってます。これをもって、私の治療責任は果たされ、治療終了となります。恐らくこの子は、今のままの予防概念であれば、今後歯のトラブルに遭遇する確率は低いと考えられます。
この記事へのコメントはありません。