この症例は、9歳女児が出っ歯と歯の隙間を気にして来院されたケースです。非抜歯を希望されたことから、虫歯予防や歯磨き指導を行いつつ、拡大床やマウスピース矯正など複数段階の治療を経て咬み合わせの改善を図りました。永久歯が揃うまで治療を継続し、虫歯や歯肉炎の発症もなく理想的な仕上がりで1期治療を終えています。
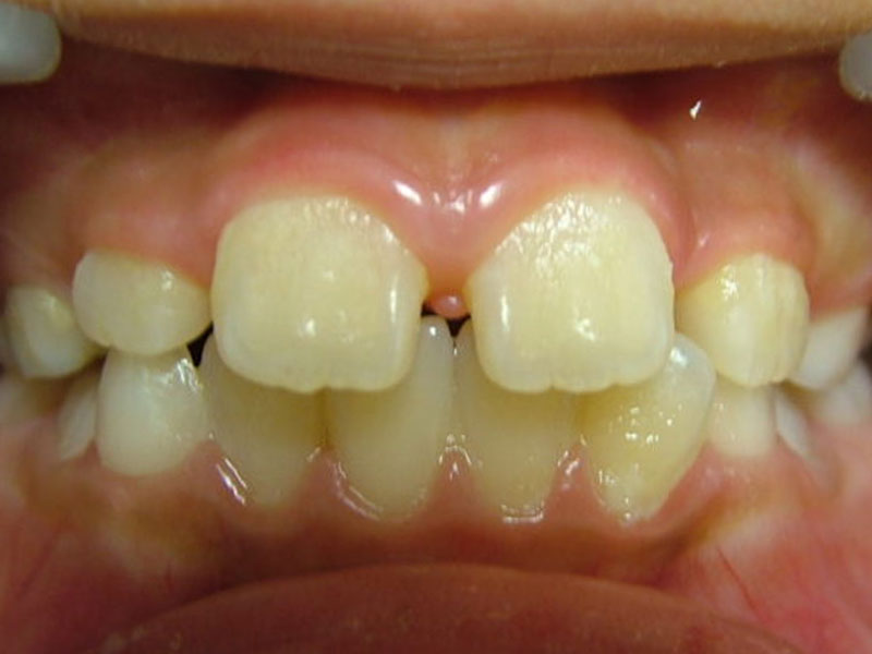
治療前




概要
- 初診:2016年、9歳女児
- 主訴:出っ歯と歯の隙間がきになる。
- 診断:2級過蓋咬合、上下永久歯(犬歯)萌出スペース不足
- 治療方針:非抜歯で行う。虫歯予防(フッ素)、歯磨き指導、上下拡大床→咬合関係改善のツインブロック(2級→1級関係へ)→マウスピース矯正→下親知らずの抜歯、保定→メンテナンス
- 費用:540,000円+税(当時)
治療後




13歳頃、永久歯列になったところで、1期治療終了。虫歯のコントロール、歯磨き指導も十分に行ったため、虫歯や歯肉炎の発生もなく理想的な状態で完了できたと思います。あとは、高校1~2年生くらいに下顎の埋伏親知らずを抜歯して、通えれば20歳くらいまで半年メンテナンスが良いかもしれません。本当に口腔内の良好維持を考えている歯科医は、矯正で一時的に治った状態に満足しません。後戻りも考慮して、適齢期の親知らずの抜歯を行ったり、習癖の改善に取り組むでしょう。さらに患者さんが通院可能であれば、予後も追い続ける傾向があるでしょう。
治療3年後




下顎前歯叢生予防のため、高校1年になり、左右下埋伏の親知らずの抜歯を行いました。本人歯並びが良くなって、ホワイトニングも希望されましたので、行うことになりました。かなり白くなりました。個人的にこれが本当の人工物に頼らない理想的な治療方法(矯正+ホワイトニング)だと思ってます。これをもって、私の治療責任は果たされ、治療終了となります。恐らくこの子は、今のままの予防概念であれば、今後歯のトラブルに遭遇する確率は低いと考えられます。
この記事へのコメントはありません。