【小児歯科症例】上の歯の隙間と歯の傾きが気になる/8歳男児/#63

この症例は、8歳男児が上の歯の隙間や歯の傾きを気にして来院されたケースです。非抜歯を方針とし、虫歯予防や歯磨き指導、舌の位置改善に加え、取り外し可能な装置やマウスピース矯正を用いて歯並びと噛み合わせの改善を進めました。治療終了後も親御さんの希望でメンテナンスを継続し、永久歯列への移行や親知らずの抜歯など長期的な口腔健康に配慮した対応が行われています。

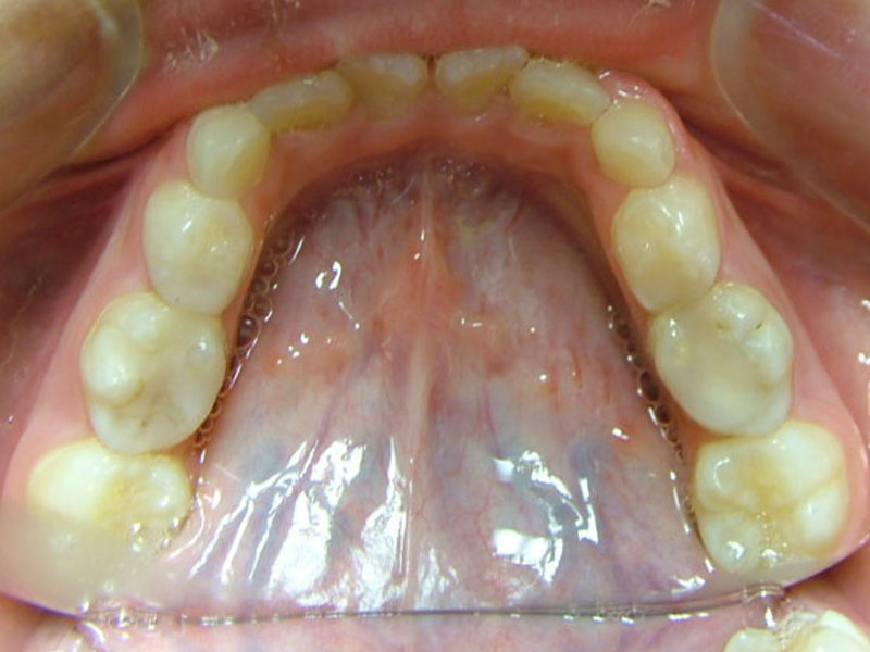
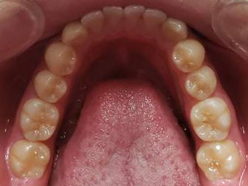
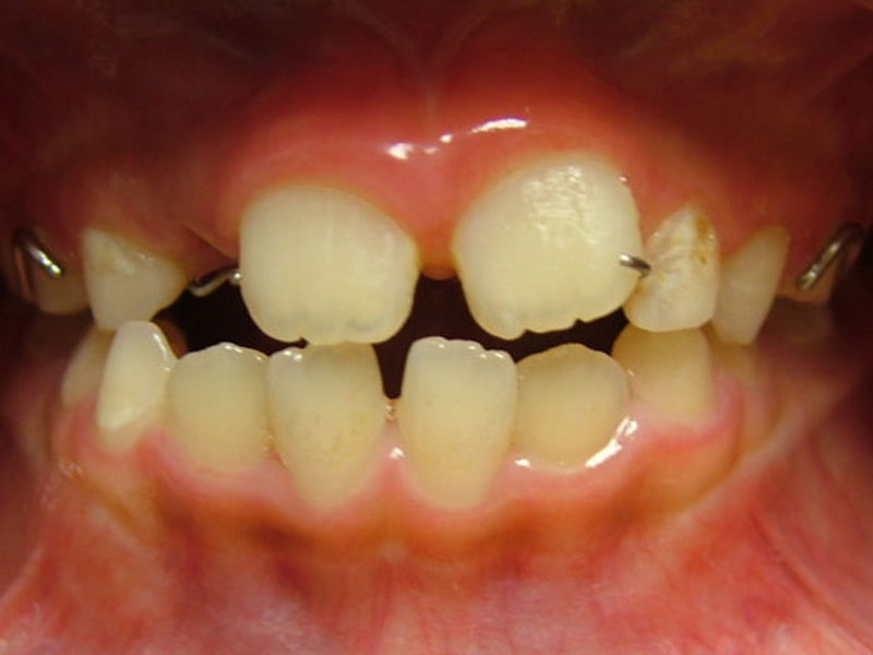
治療前

概要

  • 初診:2014年、8歳男児
  • 主訴:上の歯の隙間と歯の傾きが気になる。
  • 診断:1級咬合、左偏位、下永久歯(犬歯)萌出スペース不足
  • 治療方針:非抜歯で行う。虫歯予防(フッ素)、歯磨き指導、舌位の改善、上下拡大床+補助断線→マウスピース矯正→下親知らずの抜歯、保定→メンテナンス
  • 費用:300,000円(当時)

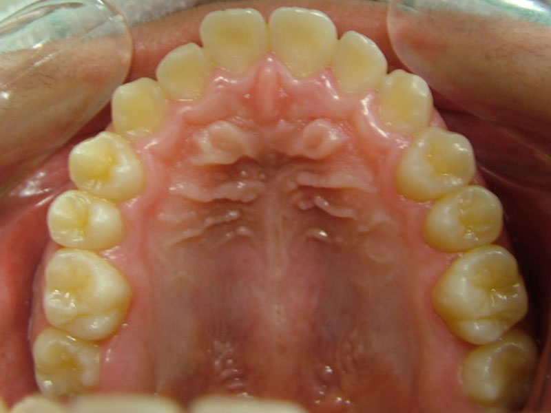
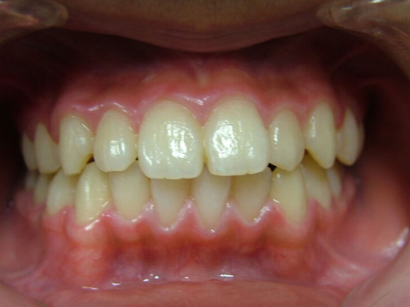
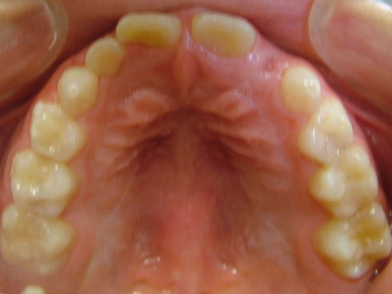
治療後

13歳頃、永久歯列になったところで、1期治療終了。後は親御さんが希望されたため、メンテナンスに移行し、高校生になったら下の親知らずを抜歯することにしました。

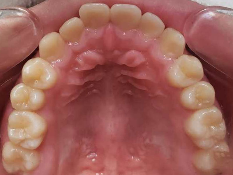
治療6年後

高校2年生で下の左右の埋伏の親知らずを抜歯しました。下の埋伏親知らずは、将来の歯並びの予後に悪い影響を与えたり、年齢が上がるにつれて抜きにくくなるので、できれば早期の抜歯が望ましいと考えています。一方、上の親知らずのは抜歯は簡単なことが多く、手前の7番や開咬などの不正咬合に悪い影響を与えなければ、下の親知らずほど急ぐ必要はないかもしれません。当医院では一応下の親知らずの抜歯をもって、ある程度の矯正は終了と捉えています。しかし、管理されるのが嫌、抜きたくない方、他(高次機関等)で抜歯したいという方は13歳位で1期治療は終了という方針です。

関連記事

  1. 【小児歯科症例】出っ歯と歯のがたがたが気になる/9歳女児/#…

  2. 【小児歯科症例】出っ歯と歯の隙間が気になる/9歳女児/#61…

コメント

  1. この記事へのコメントはありません。

  1. この記事へのトラックバックはありません。

CAPTCHA


PAGE TOP