多数歯欠損インプラント/60代女性/ノンスモーカー #38

この症例は、60代女性の上顎前歯の動揺と奥歯の欠損に対して行ったインプラント治療例です。入れ歯以外の固定式の治療を希望され、上顎前歯部および奥歯にインプラントを用いて咬合(かみ合わせ)の回復を図りました。術後も定期的なメンテナンスを続けており、治療から19年が経過した現在も良好な状態を維持しています。

術前

概要

  • 初診:2005年
  • 主訴:上の前歯がふらふら動く、上下ともに奥歯がないので、入れ歯以外の固定式のものを入れてほしい。
  • 治療方針:上顎はインプラント8本による固定式14本ブリッジの装着。下顎は右欠損部にインプラント2本、左欠損部にインプラント3本、右下5~左下3番まで連結修復物の装着
  • 治療期間:1年
  • 費用:4,135,000円+税(当時)

治療手順

  1. 上下クリーニングと歯磨き指導を行い、インプラントの術前検査(レントゲン検査、CT検査、模型検査)とカウンセリングを行う。
  2. ステントを利用し右下の6番・7番と左下4番・6番・7番に5本インプラントを埋入する。
  3. 1ヶ月後、ステントを利用し右上3番・6番・7番、左上5番・6番・7番にオステオトームにてソケットリフトを行い、インプラントを6本埋入する。
  4. 4ヵ月後、上下ともに仮歯を装着する。
  5. 右下5番から左下3番まで根管治療と歯周治療を行う。
  6. 右上1番・2番、左上1番・4番を抜歯し、同時に右上2番と左上3番にインプラントを2本埋入する。(人工骨移植併用)
  7. 6ヵ月後、上下共に最終修復物(セラミック)をセットする。
  8. 3か月毎メンテナンスに移行した。

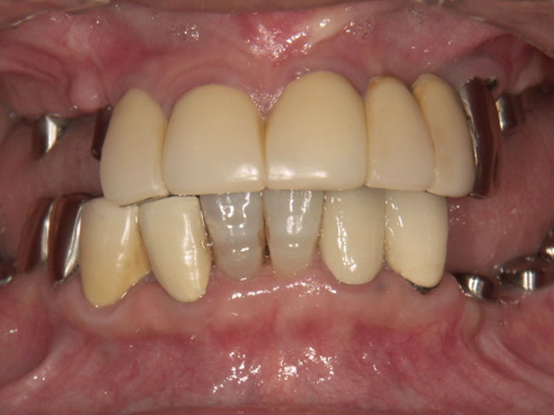
術後

術後8年後

レントゲン、CTによる画像からも視診も全く問題がありません。きちんと自己管理できていることがわかります。

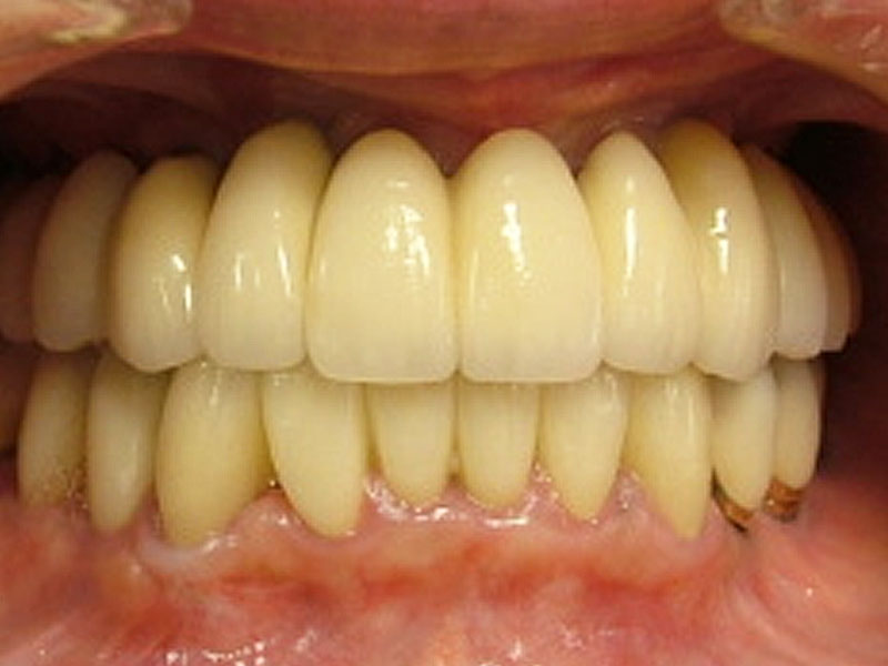
術後19年経過後

上顎のインプラントとブリッジは経過良好でした。しかし、4年程前に右下5番の歯根が破折し、歯茎が腫れてきました。コロナ禍であったこともあり、連結の被せものは外さず、歯根のみ抜根。さらに下顎前歯の歯茎が痩せきました。虫歯ではないので、見栄えが気にならなければこのままメンテナンスで経過観察する予定です。

このケースは、カリエスタイプ(虫歯タイプ)なので、更なるンプラントの長期予後はある程度約束されていると言えます。寧ろ、今後、加齢や投薬の影響などにより唾液のの分泌が抑制されれたり、噛みしめ等の習癖が酷かったりすると、神経のない残存歯にトラブルが生じてくることは容易に想像できます。

そのため、50代以降のカリエスタイプの方には、難しい残存歯の保存治療よりか虫歯にならないインプラント治療の方がはるかに予後が見込めることを理解していただきたいと常々思っています。こういうことが言えるのも、インプラント治療における数多くの長期経過ケース(20年以上)を持っているからです。必ずしも保存治療が良いと言えないと断言しておきます。

関連記事

  1. 【インプラント / 審美 症例】入れ歯以外の方法で何とかして…

  2. 前歯を綺麗にしてほしい。奥歯で噛めるようにしてほしい。 / …

  3. 多数歯欠損インプラント(上顎全部欠損)/40代女性/ノンスモ…

  4. 左下の銀歯の歯茎が腫れた。他の歯医者から治せないと言われたの…

  5. 多数歯欠損インプラント(上顎全部欠損)/50代女性/ノンスモ…

コメント

  1. この記事へのコメントはありません。

  1. この記事へのトラックバックはありません。

CAPTCHA


PAGE TOP