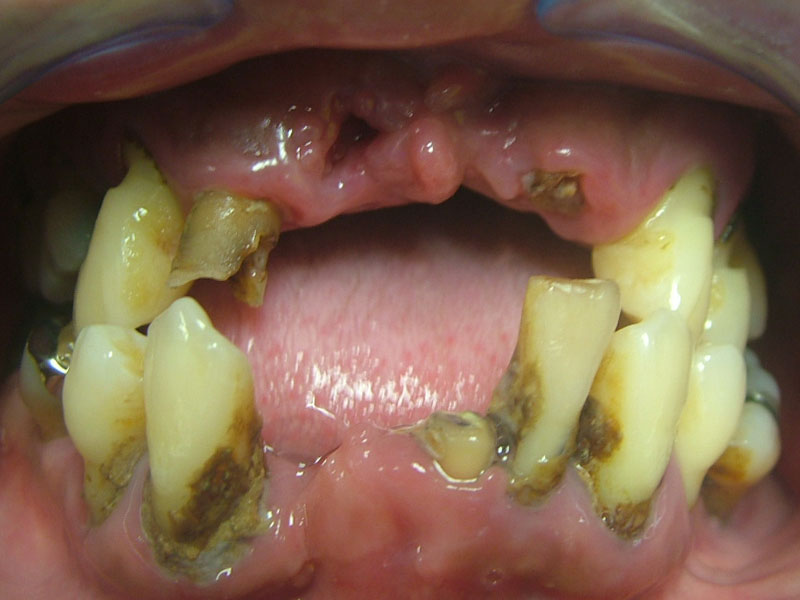
治療前


概要
- 初診:2019年(コロナ禍)
- 主訴:保険外の治療で食べれるように、入れ歯以外の方法で何とかしてほしい。
- 治療方針:上顎はインプラント7本による固定式13本ブリッジの装着。下顎はインプラント6本による固定式12本ブリッジの装着
- 治療期間:1年
- 費用:5,840,000円+税(当時)
治療手順
- 上下のCT解析を行う。(上顎には以前の顔面骨折による治療跡であるチタンのプレート、ボルトが確認できる。左側は慢性の副鼻腔炎を患っている。)
- 上下のクリーニングと歯磨き指導、禁煙指導を徹底的に行う。
- インプラント定着の間、歯の無い状態になるのを避けるため、本来抜歯予定である使えそうな残存歯の歯内療法、SRPを行い、フルの仮歯を装着する。
- 上顎、鎮静、局所麻酔下で抜歯即時埋入6本、傾斜埋入1本行う。(鼻中湾曲を認め、左側は重度の慢性副鼻腔炎もわずらっていたため、ソケットリフトやサイナスリフト等の副鼻腔へのアプローチは回避した。)
- 下顎、鎮静、伝達局所麻酔下で抜歯即時埋入6本を行う。
- 3か月後インプラントが骨に定着したのを確認し(ISQ値75以上)、一時的に使用していた残存歯を抜歯、ソケットプリザベーションし、インプラントによる仮歯を装着。
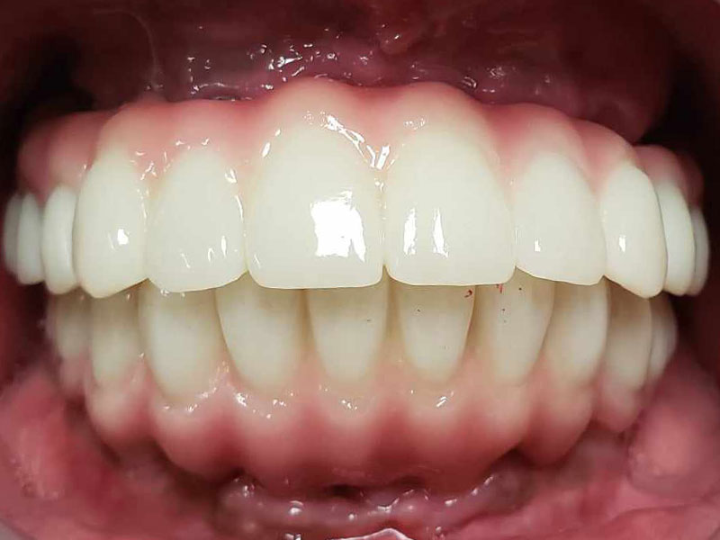
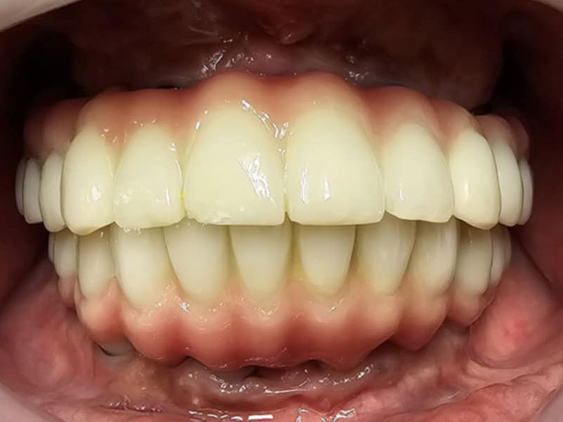
- 2か月後、抜歯穴の状態が落ち着いてから、最終補綴の型、高さの検査を行い、ねじ止め式の上部構造(チタンフレーム使用+ジルコニア+ガムセラミック)をセット。
- 禁煙できないので、治療完了半年程1か月メンテナンスに移行
- 禁煙できたとのことで3か月メンテナンスに移行
治療後


左側が慢性の副鼻腔炎を患っていたため、口呼吸優勢となります。そうなると、喫煙者で歯周病タイプの方は歯石が着きやすくなり、インプラントの予後に影響を与えます。そのため、僭越ながら、以前に骨折の治療を受けた高次機関の頭頚部外科に左側の慢性副鼻腔炎の治療が可能かどうか、治療完了後に対診を行いました。結局、患者さんの意向で経過観察となったとの事ですが、予後を語る上で口と鼻は密接な関係があることを理解していただいたと思っています。ただ、見事禁煙に成功したことは賞賛に値します。もっともインプラントのおいて注意が必要な歯周病タイプですが、メンテナンスに通って頂き診続けたいと考えています。
術後5年コメント


タバコも止められ、幸い危惧していた歯石の沈着も殆ど認められず、口腔衛生状態もいうことなし。ただ元々の歯周病タイプは、例え歯磨きが良好になったとしても、噛みしめや歯ぎしりといった習癖によるトラブル(中ねじの破損、インプラントの破損、ジルコニアやセラミックの破損等)の発生はあり得ることなので、できれば夜間のマウスピースの着用等は必須と個人的に考えています。


この記事へのコメントはありません。