この症例は、60歳女性の右下奥歯に対する根管治療の経過を9年間にわたり追跡したものです。初診時、患者様は咀嚼時の痛みと腫れを訴えており、適切な根管治療を行いました。治療後、症状は改善し、その後の定期的な経過観察により、9年間にわたり歯の保存に成功しています。この長期的な記録は、根管治療の効果と適切なケアによる歯の保存の可能性を示す一例となっています。
術前パノラマレントゲン

概要
- 初診:2014年、60歳女性
- 主訴:右下の一番奥の歯が噛むと痛い、腫れた感じもする。
- パノラマ術前所見:向かって左下一番奥の歯(右下7番)の根っこの先にかなり大きく黒くなっている骨透過像を認める。
- 診断:不完全根充、コロナリケージ、力の問題等による根尖性歯周炎、クラックの疑い
- 治療法:保険の根っこの治療(歯内療法)
- 使使用した機器&材料:拡大鏡、超音波、ニッケルチタンファイルシステム、ラバーなしの簡易防湿、ネオクリーナー、RCプレップ、炭酸ガスレーザー、水酸化カルシウム、ガットパーチャー
- 治療期間:3か月(経過観察こみ)
- 費用:保険の歯内療法費+自費の被せものゴールドクラウン(当時6万、仮歯とコアこみ)
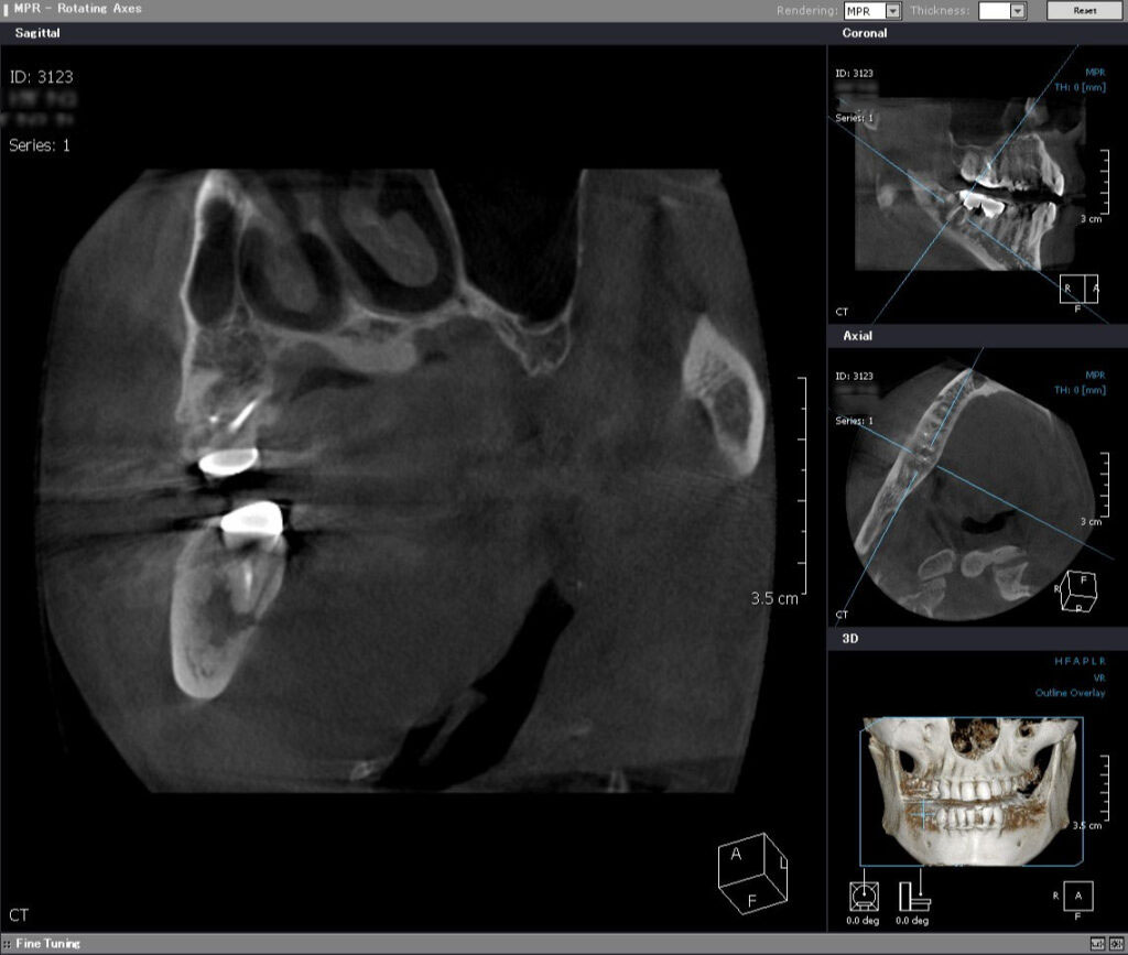
術前CT矢状断

近遠心的(手間から奥に向かって)に、根っこの先に化膿による大きな鶏卵状の境界明瞭な黒い骨透過像を認める。ここまで大きいと一般的には抜歯が適応と言える。

根っこの先の黒い骨透過像(吸収像)をはっきりと認め、下顎の神経束(丸い玉状の像)ギリギリまで拡がっていることがわかる。このままにしていれば、顎の痺れが出現すると考えらえる。
術後11年後
パノラマレントゲン写真

CT写真


11年後、当時の主訴であった右下一番奥(7番)の根っこの先の黒くなっている部分は白く改善されているように見える。勿論、患者さんも不都合は訴えていない。しかし、顎骨内部の骨(海綿骨)の状態は一般的な歯科のレントゲンであるパノラマ、デンタルでは把握できないので、正確な情報を知りたい場合、歯科用CTによる精査が必要と言える。
再歯内療法した左下6番の根っこの先の改善しているように見える。(まだ数か月単位なので被曝量も考慮し、歯科用部分CT撮影は行っていません。)
この記事へのコメントはありません。