【小児歯科症例】出っ歯と歯のがたがたが気になる/9歳女児/#60

この症例は、9歳女児が出っ歯と歯の並びの乱れを気にされて来院されたものです。歯の拡大は最小限に留め、非抜歯での矯正により目立つ症状への対応を行いました。治療期間中に虫歯や歯肉炎の発症はなく、初期治療を良好な状態で終えることができました。長期的な観察とケアにより、口腔健康の維持と成長に合わせた治療方針がとられた症例です。

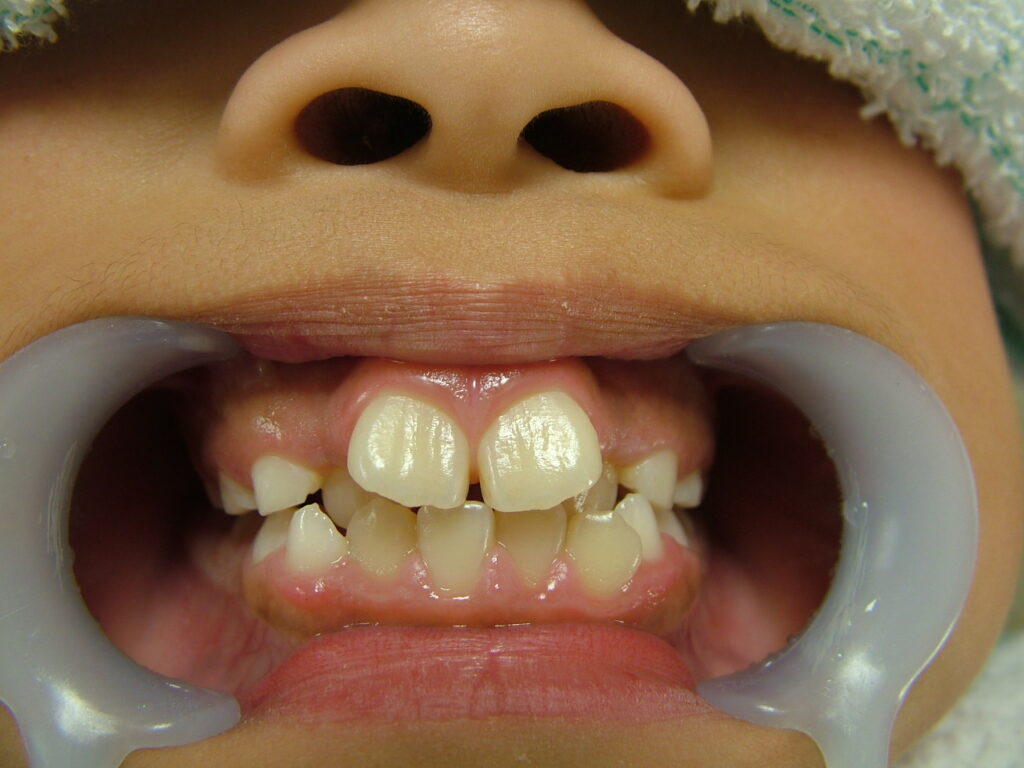
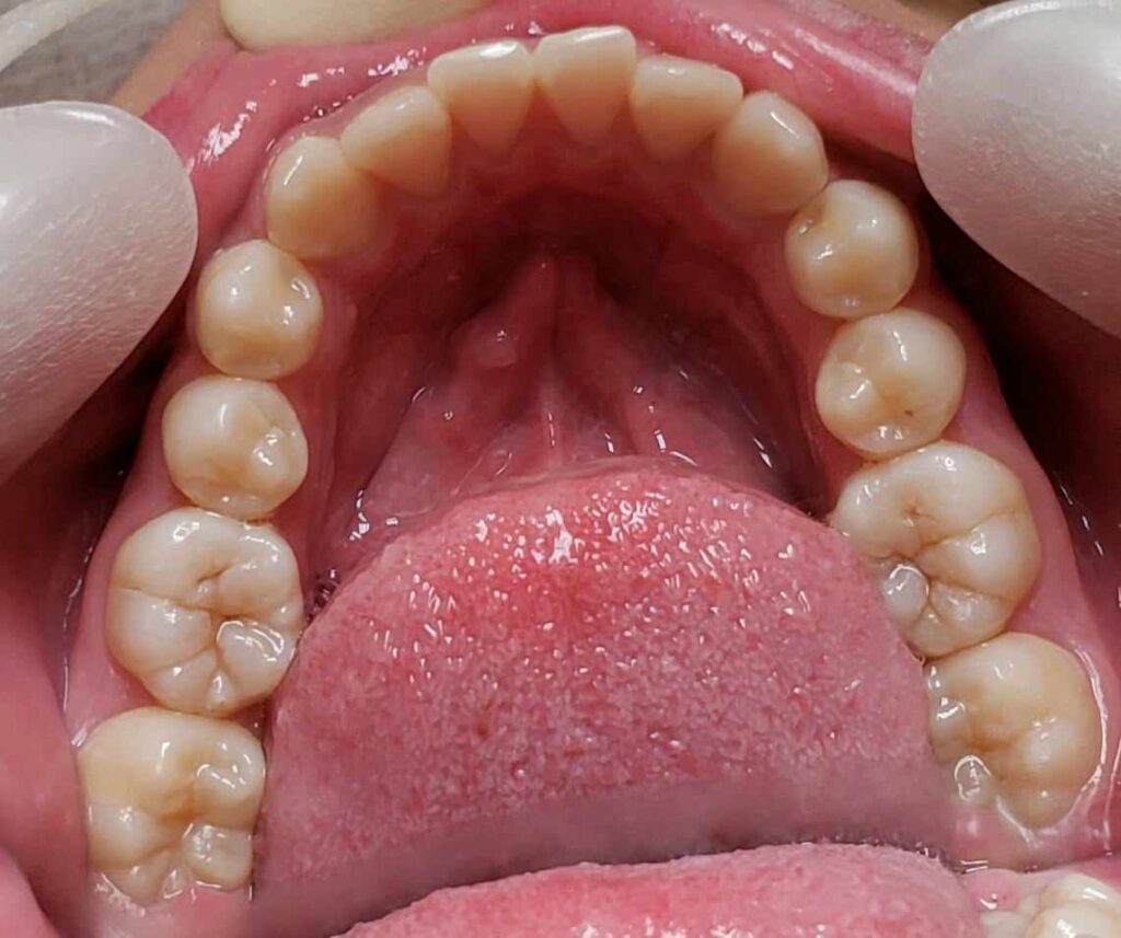
治療前

概要

  • 初診:2012年、9歳女児、
  • 主訴:出っ歯と歯のがたがたが気になる。
  • 診断:1級過蓋咬合、上下前歯叢生、上顎左右側切歯クロスバイト
  • 治療方針:非抜歯で行う。虫歯予防(フッ素)、歯磨き指導、上下拡大床→最小限のデイスキング→マウスピース矯正→下親知らずの抜歯、保定→メンテナンス
  • 費用:530,000円(当時)

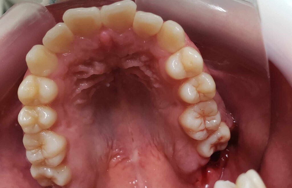
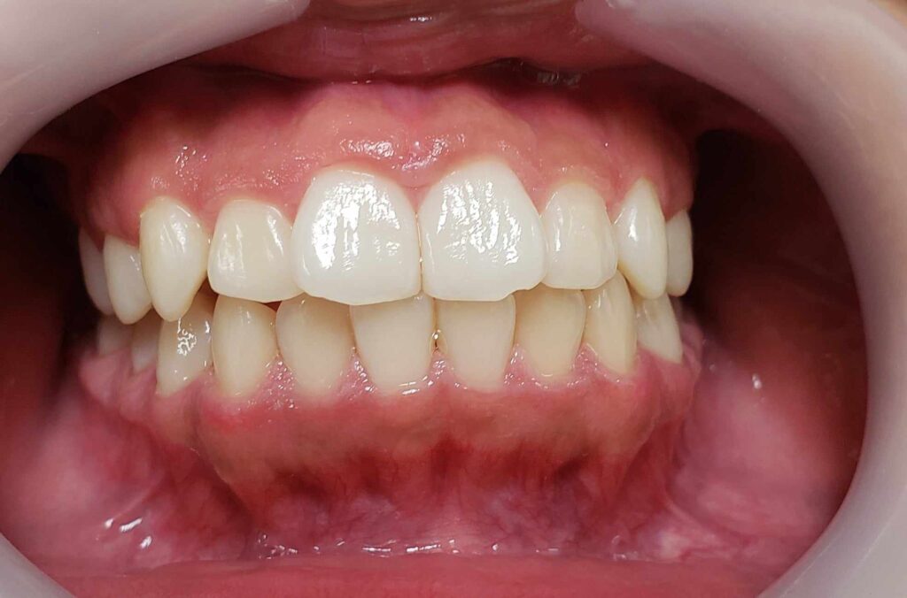
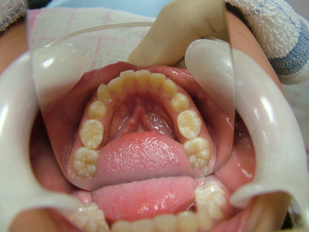
治療後

治療後のコメント

虫歯や歯肉炎の発症なく、まずまずの状態で1期治療を終了したと思います。もう少し上下顎拡大も考えましたが口が大きくなることを考慮して、最小限のディスキングで対応しました。親御さん、子供さん共に非抜歯での矯正を希望されましたが、今後シャープな口元を希望される場合、矯正の専門医で小臼歯4本抜歯ワイヤー矯正されるのも良いかもしれません。しかし舌房が狭くなり、噛みしめが誘発された方(歯周病の悪化、肩こり、知覚過敏、不定愁訴等)を数多く見てきているため、私は成人抜歯矯正(2期治療)をやるつもりはありません。(注、私は全ての抜歯矯正を否定しているわけではありません。正しく舌房の確保、舌のポジション、上下7番のコントロールを考えた矯正医が行うのは素晴らしいと思っています。)

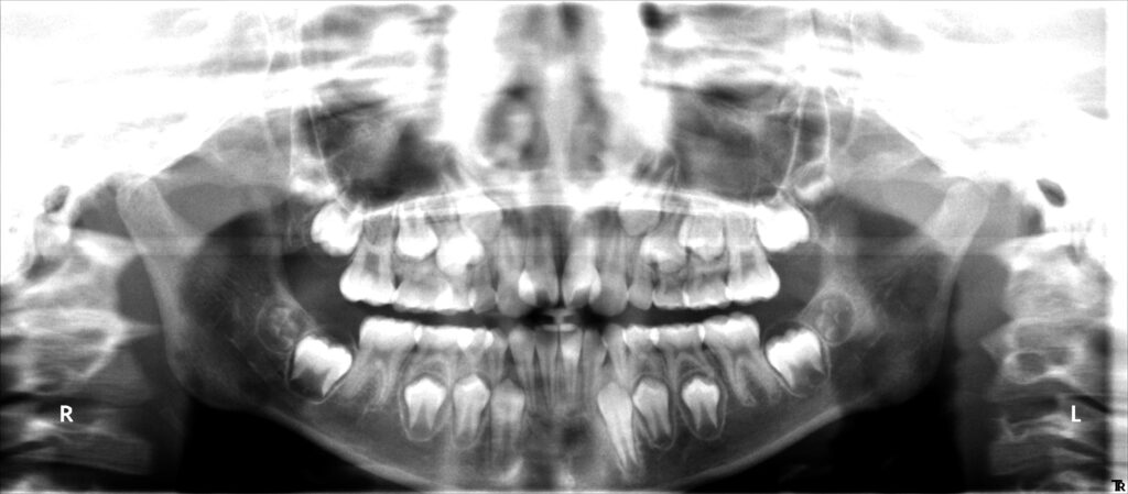
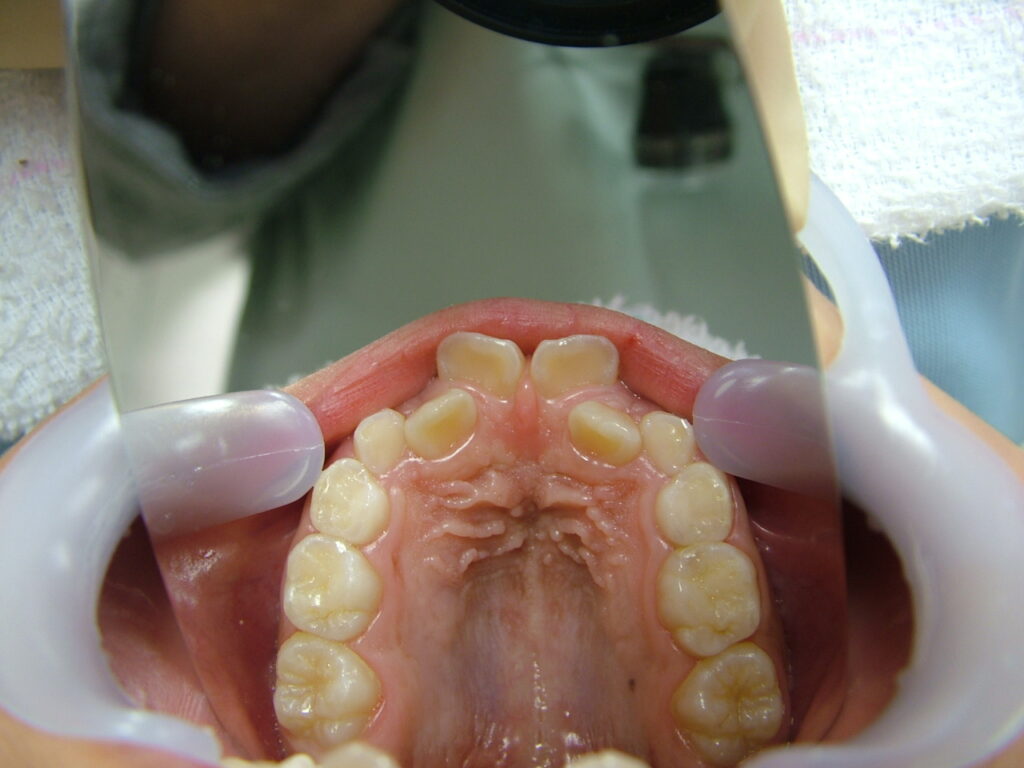
治療後2年

最後に高校1年の時に下顎前歯叢生(凸凹)予防のため、下顎埋伏親知らずの抜歯を行いました。後は、虫歯や歯肉炎にならないように、自己管理頑張ってください。

関連記事

  1. 【小児歯科症例】出っ歯と歯の隙間が気になる/9歳女児/#61…

  2. 【小児歯科症例】上の歯の隙間と歯の傾きが気になる/8歳男児/…

コメント

  1. この記事へのコメントはありません。

  1. この記事へのトラックバックはありません。

CAPTCHA


PAGE TOP