この症例は、以前にぶつけた前歯がぐらぐらしてきたことを心配して来院された30代の男性の治療例です。歯を残すのが難しい状態だったため、見た目と強さのバランスを考えてジルコニアセラミックブリッジを使った治療を行いました。治療後も定期的に通院され、10年経過した今も自然な見た目としっかりした状態を保っています。
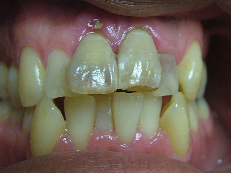
術前

概要
- 初診:2013年 治療当時30代男性、非喫煙者
- 主訴:以前に外傷でぶつけた上の前歯が動いてきた。取れそうなので何とかしてほしい。
- 治療方針:虫歯、色、歯並びの改善を目的とし、保存不可能な左右上1を抜歯し、ソケットプリザベーションを行い、右上2~左上2までの4本ジルコニアセラミックブリッジ装着を行う。
- 上前歯のみの治療期間:半年
- 費用:500,000円+税(当時)
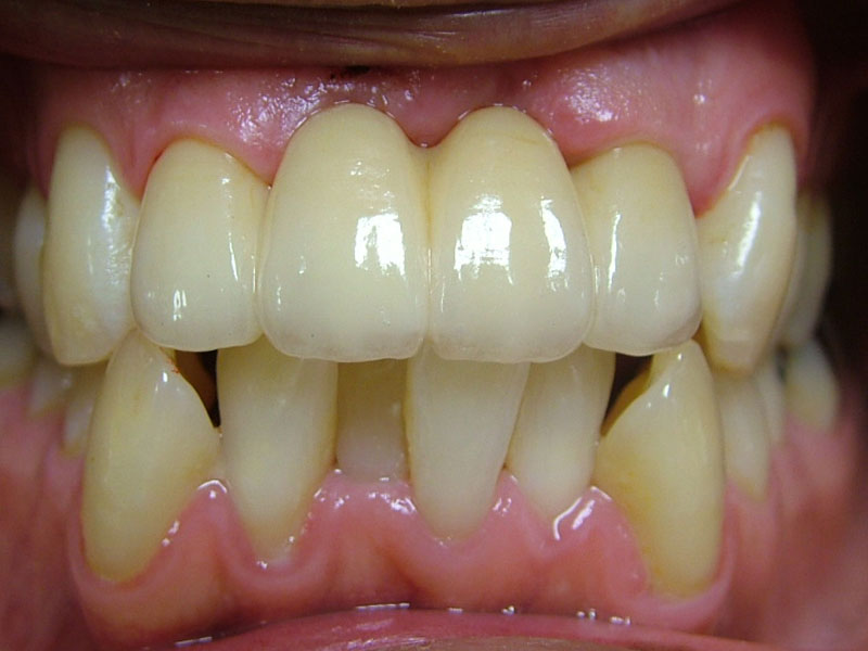
術後

ソケットプリザベーションという、抜歯後の顎骨や歯茎の退縮を予防する処置を行っているため、左上2~右上2までの歯頸ラインがえる程度整っているのがわかります。後は3~4か月メンテナンスを維持して、少しでも永くトラブルが生じないことを願うばかりです。
術後 10年

幸い、歯茎の炎症、退縮、オールセラミックの破損等を認めません。できるだけ長く維持できればと願っています。



この記事へのコメントはありません。