この症例は、上の前歯の歯並びと色を気にされて来院された40代男性の審美治療例です。自然な見た目と調和のとれた形を目指し、前歯の審美治療を行いました。治療後も定期的なチェックとクリーニングを継続し、9年が経過した現在も色調や形態の変化は少なく、良好な状態を保っています。長期にわたる安定した経過は、適切なメンテナンスの重要性を示す一例です。
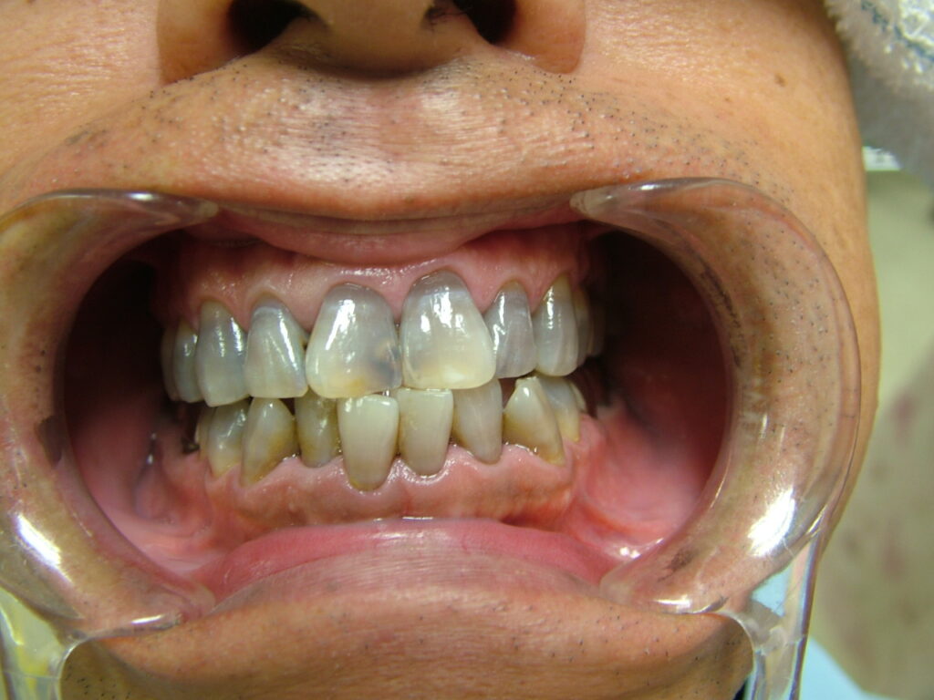
術前

概要
- 初診:2016年 治療当時40代男性、非喫煙者、
- 主訴:上の前歯の歯並びと色が気になる。
- 治療方針:虫歯、色、歯並びの改善を目的とし、オールセラミック装着による審美性の改善を行う。
- 前歯のみの治療期間:1か月
- 費用:
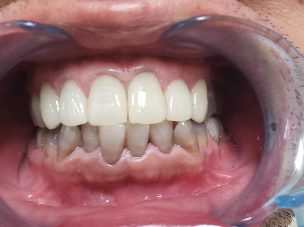
術後

審美性と歯並びはかなり改善され、4か月メンテナンスに移行した。
術後 9年後

幸い、歯茎の炎症、退縮、オールセラミックの破損等を認めない。できるだけ長く維持してほしいと希望する。

この記事へのコメントはありません。