【審美歯科症例】上の前歯の歯並びと色が気になる/40代男性/#48

この症例は、上の前歯の歯並びと色と虫歯を気にされて来院された40代男性の審美治療例です。自然な見た目と調和のとれた形を目指し、前歯の審美治療を行いました。治療後も定期的なチェックとクリーニングを継続し、10年が経過した現在も色調や形態の変化は少なく、良好な状態を保っています。

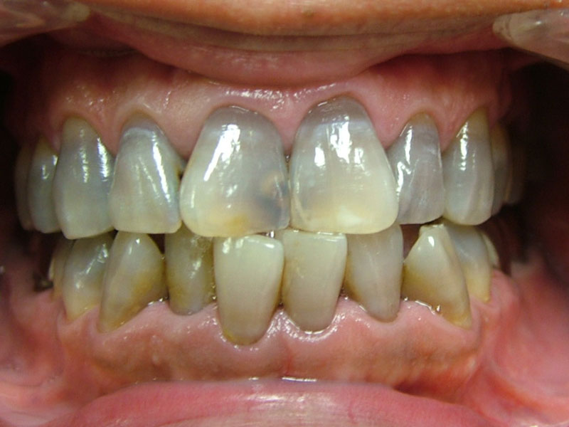
術前

概要

  • 初診:2016年 治療当時40代男性、非喫煙者。
  • 主訴:上の前歯の歯並びと色が気になる。
  • 治療方針:虫歯、色、歯並びの改善を目的とし、オールセラミック装着による審美性の改善を行う。
  • 前歯のみの治療期間:1か月
  • 費用:オールセラミック1本8万円×4本 合計32万円+税(当時)

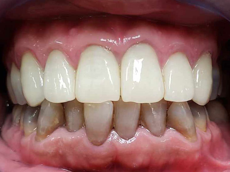
術後

審美性と歯並びはかなり改善され、4か月毎のメンテナンスに移行しました。

術後 10年後

幸い、歯茎の炎症、退縮、オールセラミックの破損等を認めません。できるだけ長く維持してほしいと希望しています。

関連記事

  1. 【審美歯科症例】上下前歯の歯並びと、特に上の前歯の色が気にな…

  2. 【インプラント / 審美 症例】入れ歯以外の方法で何とかして…

  3. 【審美歯科症例】以前に外傷でぶつけた上の前歯が動いてきた &…

  4. 【審美歯科症例】前歯の見栄えと歯周病の進行が気になる/40代…

  5. 前歯を綺麗にしてほしい。奥歯で噛めるようにしてほしい。 / …

コメント

  1. この記事へのコメントはありません。

  1. この記事へのトラックバックはありません。

CAPTCHA


PAGE TOP